Making Magical Memories with The Tooth Fairy
It’s the little things in life, right? The touches of magic that turn traditions into life-long memories.
Many children love the idea of the Tooth Fairy, and enjoy receiving a prize in exchange for their lost baby teeth. Children will lose their first tooth around the age of 6, and will continue to lose their baby teeth until around the age of 12 (give or take a year or two from beginning to end). Sometimes losing a tooth can be scary or uncomfortable, and the Tooth Fairy can be an incentive for getting through the experience.
Here at Purcellville Pediatric Dentistry, home of The Tooth Fairy Dentist, we have some ideas to help you make magical Tooth Fairy memories with your children. We have created a gender-neutral Magical Tooth Fairy Memories Kit that includes:
A poem to attach to a small jar of glitter to attract the Tooth Fairy.
A tooth receipt from the Tooth Fairy.
A letter from the Tooth Fairy.
An apology letter from the Tooth Fairy (because forgetting happens).
A chart to keep track of your child’s lost teeth.
To download/print the entire Magical Tooth Fairy Memories Kit on one page, please click here. In addition, you can click on each of the individual pictures to print just that part of the kit.
We wish all of our patient families many magical Tooth Fairy memories. Please tag us and/or share your Tooth Fairy pictures and stories with us! You can find us on social media using the links found on the top or bottom of this page.
Blog #1

Healthy Snacks for Strong, Cavity-Free Smiles in Purcellville, Virginia
As parents, we do our best to keep our children’s teeth healthy, but did you know that what they eat plays a huge role in their dental health? Choosing the right snacks can help prevent cavities, strengthen enamel, and promote overall oral hygiene.
Best Snacks for Healthy Teeth
- Crunchy Fruits & Vegetables: Apples, carrots, and celery act as natural toothbrushes, scrubbing away plaque while stimulating saliva production, which helps wash away food particles and bacteria.
- Dairy Delights: Cheese, yogurt, and milk are excellent sources of calcium and phosphorus, which help strengthen teeth and protect enamel. Plus, dairy products help neutralize acids in the mouth.
- Nutritious Nuts & Seeds: Almonds, walnuts, and sunflower seeds contain essential minerals like phosphorus and magnesium that support strong, healthy teeth.
- Whole Grains Over Processed Snacks: Opt for whole wheat crackers, brown rice, and whole-grain bread instead of starchy, processed snacks that stick to teeth and encourage bacteria growth.
- Water Over Sugary Drinks: Water keeps your child’s mouth hydrated and helps rinse away food particles, while drinks like juice and soda bathe teeth in sugar, increasing the risk of cavities.
Snacks to Limit or Avoid
- Sticky fruit snacks and gummies (even the “healthy” ones)
- Sticky candy (Starbursts, Skittles, Caramels, etc.)
- Sugary cereals and granola bars
- Chips and white bread, which break down into cavity-causing sugars
- Soda
Making small changes to your child’s snack routine can have a big impact on their oral health. Encourage healthy choices and regular brushing to keep their smile bright and cavity-free!
Blog #2
What to do in a Pediatric Dental Emergency: A Parent’s Guide in Purcellville, Virginia
Accidents happen—especially when it comes to kids! Whether it's a fall at the playground or a bump during sports, dental emergencies in children are more common than you might think. Knowing how to respond can make all the difference in saving a tooth and reducing long-term damage. Here's a quick guide to help you stay prepared.
Common Dental Emergencies in Children
1. Knocked-Out Tooth (Avulsion)
- Baby Tooth: Do not try to reinsert. Call your pediatric dentist for guidance.
- Permanent Tooth: Rinse gently with water (do not scrub), place it in milk or the child’s saliva, and get to the dentist within 30 minutes.
2. Chipped or Broken Tooth
- Rinse the mouth with warm water.
- Save any broken pieces in milk.
- Apply a cold compress to reduce swelling.
- Place a gauze to control bleeding
3. Toothache
- Rinse with warm salt water.
- Check for food stuck between teeth.
- Avoid aspirin directly on gums—it can burn tissue.
- Call your dentist for an exam.
4. Bitten Lip or Tongue
- Clean the area gently.
- Apply pressure with gauze to stop bleeding.
- Use a cold compress to reduce swelling.
- If bleeding doesn’t stop or the wound is deep, seek medical care.
When to Call Your Pediatric Dentist Immediately
- A knocked-out or severely broken permanent tooth
- Signs of infection (fever, swelling, pus)
- Difficulty eating, drinking, or speaking
Prevention Tips
- Use mouth guards during sports.
- Childproof your home to prevent falls.
- Schedule regular dental check-ups for early detection of potential issues.
Blog #3
.jpg)
Fluoride and Your Child's Teeth: Why It Matters in Purcellville, Virginia
Based on Recommendations from the American Academy of Pediatric Dentistry (AAPD)
Fluoride is one of the most important tools we have to prevent tooth decay in children. According to the American Academy of Pediatric Dentistry (AAPD), fluoride is a safe and effective way to reduce cavities and help children maintain healthy smiles from the very beginning.
What Is Fluoride?
Fluoride is a naturally occurring mineral found in water, soil, and certain foods. It strengthens tooth enamel—the outer layer of teeth—making it more resistant to acids that cause decay.
The AAPD recommends fluoride use as part of a comprehensive approach to preventing dental caries (cavities), which remains one of the most common chronic childhood diseases.
How Does Fluoride Help?
Fluoride helps protect teeth in two key ways:
- Remineralization: Fluoride can repair early stages of tooth decay by rebuilding weakened enamel before cavities form.
- Cavity Prevention: It reduces the ability of bacteria in plaque to produce harmful acid that breaks down tooth enamel.
Fluoride benefits both baby (primary) teeth and permanent teeth, helping protect your child’s oral health throughout development.
Key Sources of Fluoride for Children
1. Fluoridated Tap Water
- Community water fluoridation is a safe, proven method of reducing tooth decay. The AAPD, along with the CDC and ADA, strongly supports fluoridating public water supplies to the recommended level of 0.7 parts per million.
- Children who drink fluoridated water have fewer cavities than those who do not.
2. Fluoride Toothpaste
- As soon as the first tooth appears, brushing should begin using fluoride toothpaste.
- For children under 3 years, use a tiny smear (about the size of a grain of rice).
- For children ages 3–6, use a pea-sized amount.
- Supervise brushing to ensure the correct amount of toothpaste and prevent swallowing.
3. Fluoride Varnish
- Fluoride varnish is a concentrated fluoride coating applied to the teeth by dental professionals.
- The AAPD recommends varnish applications every 3 to 6 months, starting when the first tooth erupts.
- It’s safe for babies and very effective in reducing decay in children at higher risk.
4. Fluoride Supplements
If your family uses non-fluoridated water (like well water), your pediatric dentist may recommend fluoride drops or tablets. These are available by prescription and should only be used under professional guidance.
Is Fluoride Safe for My Child?
Yes—when used as recommended. The AAPD affirms the safety and benefits of fluoride. Mild dental fluorosis (small white spots on teeth) may occur if too much fluoride is ingested while teeth are developing, but it does not affect function or long-term health. Careful use of fluoride toothpaste and regular dental visits help prevent this.
What Parents Should Do
- Start oral hygiene early: Begin brushing with fluoride toothpaste when the first tooth appears.
- Ask your dentist about fluoride varnish and your community’s water source.
- Supervise brushing through early childhood.
- Visit the pediatric dentist by your child’s first birthday to create a personalized prevention plan.
A Small Mineral with a Big Impact
Fluoride is one of the easiest and most effective ways to protect your child’s teeth from cavities. By combining fluoridated water, proper brushing with fluoride toothpaste, and professional fluoride treatments, you’re setting the stage for a lifetime of healthy smiles.
For more information, visit the American Academy of Pediatric Dentistry at www.aapd.org.
Blog # 4
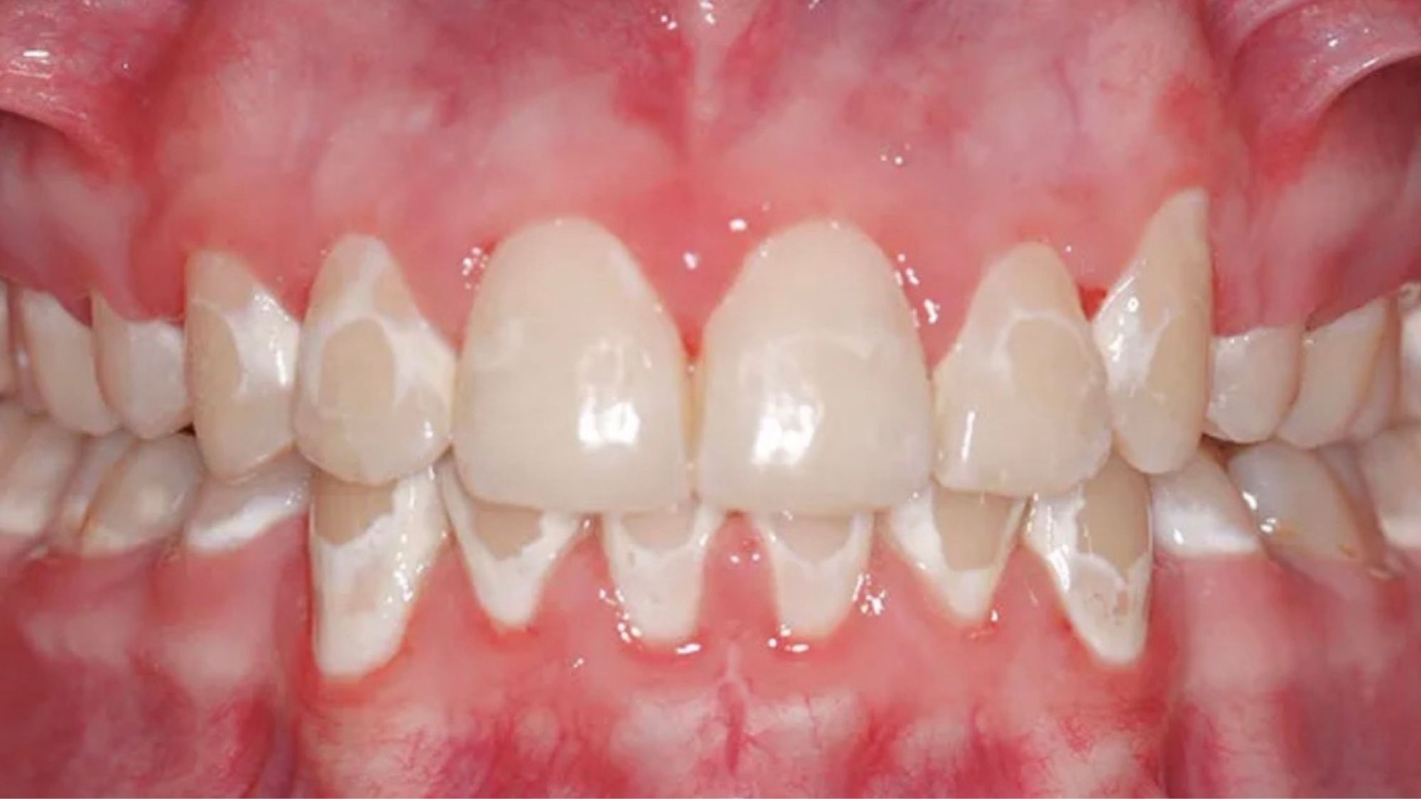
Decalcification and Braces: What Every Parent Should Know in Purcellville, VA
When your child starts orthodontic treatment, braces work wonders to create a beautiful, healthy smile. But along with the benefits of braces, there’s a potential risk you should know about: decalcification.
What Is Decalcification?
Decalcification is the early stage of tooth enamel breakdown. It happens when minerals like calcium and phosphate are lost from the enamel, often due to prolonged exposure to dental plaque and acids. This results in white spot lesions—chalky, opaque areas on the teeth that can be permanent if not addressed early.
According to the American Academy of Pediatric Dentistry (AAPD), these lesions are among the most common side effects of orthodontic treatment, especially when oral hygiene is challenging.
Why Does It Happen with Braces?
Braces create small spaces around brackets and wires where food and bacteria can easily collect. Without thorough brushing and flossing, plaque builds up, producing acids that attack the enamel. This is why AAPD stresses the importance of daily plaque removal during orthodontic treatment.
What Are the Signs?
- White, chalky spots near the gum line or around brackets
- Areas that look dull compared to surrounding enamel
- Increased risk of cavities in the same spots
How to Prevent Decalcification
The AAPD recommends these steps to protect your child’s teeth during braces:
- Excellent Oral Hygiene
- Brush after every meal with a fluoride toothpaste.
- Floss daily using floss threaders or special orthodontic floss.
- Professional Fluoride Treatments
- In-office fluoride varnish can help strengthen enamel and reduce white spot formation.
- Dietary Choices
- Limit sugary and acidic foods and drinks, such as sodas and sticky snacks.
- Use of Fluoride Mouth Rinse
- Daily use of an over-the-counter fluoride rinse can provide extra protection.
- Regular Dental Visits
- Routine check-ups allow early detection and treatment of white spot lesions.
What If White Spots Appear?
Early detection is key. In some cases, remineralization treatments with fluoride or prescription pastes can help. For severe cases, cosmetic options like micro-abrasion or bonding may be needed after braces are removed.
Protecting your child’s smile during orthodontic treatment takes teamwork between your child, you, and your dental team. With proper care, you can minimize the risk of decalcification and enjoy a healthy, beautiful smile after braces!
Blog # 5
(3).jpg)
Why Dental X-Rays Are Important for Children in Purcellville, Virginia
As parents, you want the very best for your child’s health — and that includes their smile! One question many families have during dental visits is: “Why does my child need dental X-rays?” At our pediatric dental office, we follow the guidelines of the American Academy of Pediatric Dentistry (AAPD) to ensure X-rays are safe, necessary, and helpful in protecting your child’s teeth.
Why Do Children Need Dental X-Rays?
Even with a thorough exam, not everything can be seen with the eyes alone. Dental X-rays help us detect issues that may otherwise go unnoticed, such as:
- Cavities between teeth or under fillings
- Early signs of infection or abscesses
- Monitoring growth and development of teeth and jaws
- Identifying missing, extra, or impacted teeth
- Evaluating injuries after dental trauma
Since children’s mouths grow and change quickly, X-rays are especially important for guiding treatment and preventing small problems from becoming bigger ones.
Are Dental X-Rays Safe for Kids?
Yes! Dental X-rays use very low levels of radiation, and modern technology makes them safer than ever. At our office, we use protective lead aprons and thyroid collars to minimize exposure.
Types of Dental X-Rays for Children
Depending on your child’s age and needs, the dentist may recommend different kinds of X-rays:
- Bitewing X-Rays: Show cavities between the back teeth. Often taken once the child’s teeth touch side-to-side.
- Periapical X-Rays: Focus on the entire tooth, from crown to root, to check for infection or injury.
- Panoramic X-Rays: Give a full view of the teeth, jaws, and growth patterns. Helpful for orthodontic planning and identifying anomalies.
- Occlusal X-Rays: Show larger areas of the upper or lower jaw, often used for younger children.
How Often Does My Child Need X-Rays?
The AAPD recommends that the frequency of X-rays be based on your child’s individual risk for cavities and their stage of dental development. For example:
- Children with a high risk of cavities may need X-rays every 6 months.
- Children with a low risk may only need them every 12–24 months.
Our team will carefully evaluate your child’s needs and recommend X-rays as needed.
The Bottom Line
Dental X-rays are a safe and valuable tool to keep your child’s smile healthy. They help us see the “hidden” parts of your child’s mouth, catch problems early, and plan for future growth. By following the AAPD’s guidelines, we ensure your child gets the right care at the right time.
If you have questions about dental X-rays for your child, our team is always happy to explain and guide you through the process!








(1).jpg)


